- Arrêter avec succès
- Rechutes
- Service de conseil
- Connaissances spécialisées
- Pourquoi fumer est-il dangereux?
- Maladies liées au tabac
- Aperçu
- Maladies cardio-vasculaires
- Aperçu
- Je prends soin de mon cœur… j’arrête de fumer!
- Artères, tabagisme et athérosclérose
- L’insuffisance cardiaque: le rôle du tabagisme
- L’accident vasculaire cérébral (AVC)
- Tabac et risque d'infarctus
- Angor (angine de poitrine)… et athérosclérose
- L’hypertension artérielle (HTA)
- La maladie de Buerger (Thromboangéite oblitérante)
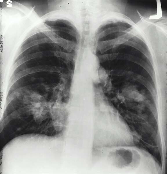
- Les maladies pulmonaires dues au tabac
- Les cancers dus au tabagisme
- Autre maladies et facteurs de risque
- Substituts nicotiniques et médicaments
- Vaporettes et d'autre produits
- Chicha, snus et d'autres produit
- Pourquoi fumer est-il dangereux?
- Spécialistes
- À propos de nous




